Симптомы пиореи: причины, лечение и профилактика

Симптомы пиореи: причины, лечение и профилактика
Симптомы пиореи: причины, лечение и профилактика

пародонтиттакже известный какпиорея - это инфекционно-воспалительное заболевание, которое возникает в тканях прикрепления зуба (кости, цементе и пародонте). связка).

Симптомы пиореи или пародонтита
Симптомы пиореи или пародонтита

периодонтитсвязан сбактериальным налетом, а точнее с группами бактерий, которые колонизируют и обитают в поддесневом пространстве, т.е. пространство сразу за краем десны.

Пиореяв отличие от гингивита характеризуется структурной потерей аппарата прикрепления зубов, тогда как гингивит представляет собой воспаление десен без вовлечения места прикрепления зуба.

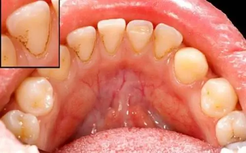
Признаки и симптомы пиореи

Существуют различные типыпародонтита, но наиболее распространенными признаками и симптомами независимо от типапародонтита являются:

  • Отек.
  • Эритема (покраснение).
  • Увеличение или рецессия десны.
  • Бактериальный налет или зубной камень над десной (над десной) или под десной (под десной).
  • Местные факторы, увеличивающие накопление бактериального налета, такие как плохое состояние зубных протезов или скученность зубов.
  • Кровотечение или нагноение при использовании зубной нити или других раздражителей.
  • Подчеркнутая подвижность зубов.
  • Потеря зубов.
  • Воспаление десен.
  • Потерю альвеолярной кости (кости, окружающей зуб) можно увидеть непосредственно или на рентгеновском снимке.

Виды пародонтита

Пиорею можно разделить на несколько категорий:

Хронический пародонтит

Он может быть локализованным или генерализованным, но оба имеют одинаковые характеристики.

  • У взрослых встречается чаще, чем у детей
  • Эволюционирует медленно или умеренно.
  • Степень разрушения тканей пародонта, как правило, связана с уровнем гигиены полости рта, количеством бактерий зубного налета, курением, стрессом и системными заболеваниями.
  • Количество бактерий пропорционально степени разрушения тканей.
  • Распространено разрушение соединительной ткани.
  • Присутствие поддесневого зубного камня является распространенным явлением.

Агрессивный пародонтит

Он делится на:

Локальный агрессивный пародонтит

  • Обычно поражает подростков.
  • Ваш прогресс быстрый.
  • Количество присутствующих бактерий не пропорционально тяжести разрушения тканей.
  • Деструкция пародонта локализуется в области первых моляров и резцов.
  • Гингивальный камень обычно отсутствует.

Генерализованный агрессивный пародонтит

  • Обычно поражает людей моложе 30 лет, хотя может встречаться и у пожилых людей.
  • Это быстро прогрессирует.
  • Число бактерий в норме пропорционально тяжести разрушения тканей.
  • Разрушение пародонта затрагивает первые моляры, резцы и другие зубы.
  • Десневой камень присутствует или отсутствует.

Причины пиореи

Одной из наиболее частых причин является наличие бактериального налета, нопериодонтит связан с человеком, который им страдает, то есть, если его иммунная система работает в эффективны, даже у некоторых людей есть генетическая предрасположенность, и по этой причине только у некоторых людей развивается прогрессирующая деструкция.

периодонтит развивается при увеличении количества бактерий (которые прилипают к зубному налету) и агрегации патогенных бактерий, вызывающих снижение системного ответа иммунитета, а также такие факторы, как:

  • Генетическая предрасположенность.
  • Употребление табака.
  • Диабет и другие заболевания, снижающие реакцию иммунной системы.
  • Стресс и/или депрессия.
  • Возраст.
  • Плохая гигиена полости рта.
  • Иммунодепрессанты.

Лечение

Американская академия пародонтологиирекомендует следовать ряду рекомендаций по лечениюпериодонтита:

  • Обучать пациента правилам гигиены полости рта
  • Над- и поддесневые соскобы.
  • Масштабирование и сглаживание корня.
  • Операции на пародонте, которые будут зависеть от тяжестипериодонтита. Они могут способствовать регенерации как костной ткани, так и десен.
  • Постоянная переоценка дела.
  • Антибиотикотерапия в зависимости от состояния больного и тяжести теченияпериодонтита.

Эти процедуры чисто стоматологические, рекомендуется обратиться к стоматологу, чтобы улучшить здоровье полости рта, если вы страдаете отпериодонтита.

Как предотвратить пародонтит

Как для предотвращенияпериодонтита, так и для более эффективного лечения важно контролировать следующие факторы:

  • Поддерживайте хорошую гигиену полости рта.
  • Регулярные визиты к стоматологу, не реже одного раза в 6 месяцев.
  • Снятие или замена зубных реставраций в плохом состоянии.
  • Удаление полости.
  • Лечение при проблемах с прикусом.
  • Удаление зубов с плохим прогнозом.
  • Улучшение тех стоматологических заболеваний, которые способствуют накоплению пищи.
  • Люди, страдающие диабетом или имеющие заболевания, нарушающие их иммунную систему, должны обратиться к врачу для контроля.

Ссылки:

Армитидж, Г. К. (2005). Диагностика и классификация заболеваний пародонта. Пародонтология 2000, 9, 9-21.

Эскудеро, Н., Переа, М. А., и Басконес, А. (2008). Обзор хронического пародонтита: эволюция и клиническое применение. Достижения в пародонтологии и оральной имплантологии, 20 (1), 27-37.

Линде, Дж., Карринг, Т., и Ланг, Н. П. (2009). Клиническая пародонтология и дентальная имплантология. Каракас, Венесуэла: Панамериканская медицинская редакция.

Зерон, А. (2001). Новая классификация заболеваний пародонта. Журнал АДМ, 58 (1), 16-20.